Safra kesesi, karaciğer tarafından üretilen ve özellikle yağlı gıdaların sindirimi için kritik rol oynayan safranın depolanıp yoğunlaştırıldığı kese şeklinde bir organdır. Günümüzde beslenme alışkanlıkları ve yaşam tarzı değişikliklerine bağlı olarak safra kesesi hastalıkları toplumda oldukça sık görülmektedir.
Safra Kesesi Varyasyonları ve Şekil Bozuklukları
Safra kesesi varyasyonları, kesenin doğuştan gelen veya sonradan gelişen şekil bozuklukları olup; genellikle tesadüfen saptanırlar. Bu varyasyonlar arasında "Frigyalı şapkası" (kesenin bir kısmının kendi üzerine katlanması), kum saati görünümü veya çift safra kesesi gibi yapılar sayılabilir. Çoğu varyasyon klinik bir şikayete ya da yakınmaya yol açmasa da, nadiren safra akışını zorlaştırarak taş oluşumuna zemin hazırlayabilirler.

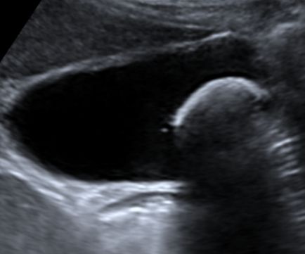
Safra Kesesi Taşları ve Riskleri
Safra kesesi taşları (kolelitiazis), toplumda en sık karşılaşılan gastrointestinal problemlerden biridir. Safra kesesi taşlarının safra kesesi çıkışını veya ana safra yollarını tıkamasına bağlı olarak;

- Akut Kolesistit: Kese duvarının iltihaplanmasıyla oluşan şiddetli karın ağrısı.
- Tıkanma Sarılığı: Safra akışının durması sonucu gözlerin ve cildin sararması.
- Akut Pankreatit: Özellikle küçük boyutlu taşların ortak kanala düşerek pankreas kanalını tıkaması sonucu oluşan ve hayati risk taşıyan pankreas iltihabı.
Akut ve Kronik Kolesistit: Arasındaki Fark Nedir?
Safra kesesinin iltihabi durumları, hastalığın şiddetine göre iki grupta incelenir:
1. Akut Kolesistit: Aniden başlayan, sağ üst karın bölgesinde şiddetli ağrı, bulantı ve ateşle seyreden acil bir durumdur. Genellikle bir taşın kese ağzını tıkamasıyla başlar.
2. Kronik Kolesistit: Tekrarlayan hafif iltihaplanma atakları sonucunda kesenin küçülerek işlevini yitirmesidir. Hastalar genellikle yemeklerden, özellikle yağlı yemeklerden sonra hazımsızlık ve şişkinlikten şikayet ederler.
Safra Kesesi Adenomiyomatozisi
Adenomiyomatozis, kese duvarında iyi huylu bir kalınlaşma olup fokal (bölgesel) veya difüz (yaygın) duvar kalınlaşması ile karakterizedir. Bu durumda kese duvarındaki mukoza katmanı, kas tabakasının içine doğru fıtıklaşarak "Rokitansky-Aschoff sinüsleri" adı verilen küçük cepler oluşturur. Genellikle zararsız olarak kabul edilse de, safra çamuru birikimine neden olabileceği için takibi önerilir.
